Real Patient Cases

Real Smiles. Real Transformations. No shortcuts.

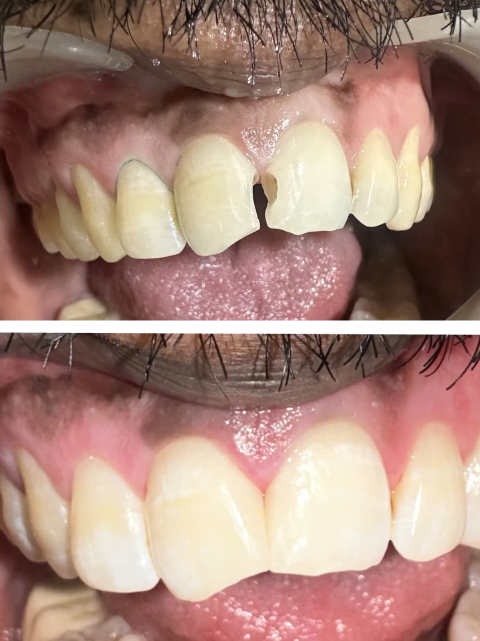
Every case below represents a real patient, their concern, and a carefully planned treatment designed for long-term results—not shortcuts.

Before & after images shown with patient consent.

Patient Success

How to Read Each Case

Patient Concern

What the patient came with

Our Treatment Plan

How we solved it

Outcome & Experience

Final result + patient words

Comprehensive Treatments We Specialize In

From preventive care to advanced procedures, every treatment is handled with precision, comfort, and personalized attention.

Tooth Replacement

Tooth Replacement

Dental Implants

Dentures

Orthodontic Correction

Esthetic filling

Dentures

Pediatric fillings

Esthetic Smile Correction

Teeth whitening

Esthetic Smile Correction

Esthetic Smile Correction

Get in Touch

Book Your Appointment

Take the first step towards your perfect smile. Our team is ready to help you.

Let's Talk About Your Smile

Most patients come in feeling unsure. They leave feeling confident.

Whether you need a routine check-up or a complete smile makeover, we're here to provide personalized care tailored to your needs.

Call Us
Visit Us
No.1 Ramakrishna Street Mannivakkam, Vandalur,
Chennai, Tamil Nadu 600048
Office Hours
Monday - Friday: 10am - 2pm & 5pm - 8pm
Saturday Morning: 10am - 2pm
Sunday: Closed
What brings you in today?
Don't worry if you're unsure—we'll help you determine the best treatment during your visit.
No commitment. We'll confirm before scheduling.

By submitting this form, you agree to our privacy policy. We'll contact you within 24 hours.